Científicos descubren una nueva tecnología que recupera hasta el 80% de las baterías de...
Investigadores japoneses han desarrollado una técnica novedosa para revivir baterías de iones de litio degradadas, un avance que podría revolucionar la industria energética. Este...
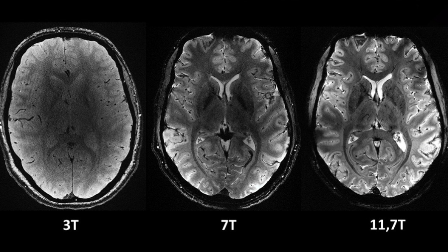
La resonancia magnética más potente del mundo muestra sus primeras imágenes
En un estreno mundial, los investigadores de la Comisión de Energía Atómica (CEA) de Francia revelaron este martes una serie de imágenes 'in vivo'...
¿Te consideras ingenioso? IA revela las frases típicas de una persona inteligente
La Inteligencia Artificial (IA) reveló las habilidades en aquellas personas que se consideran inteligentes, con nuevas ideas, el reconocimiento de errores y la gratitud...
En más avances: Investigadores desarrollan nueva fibra inteligente luminosa en China
Investigadores chinos desarrollaron un nuevo tipo de fibra inteligente que puede emitir luz y generar electricidad sin ser conectada, además utiliza una compleja integración...
¡Interesante! Científicos demuestran que los cocodrilos imitan a las ballenas antes de aparearse
Los cocodrilos cortejan a las hembras con el lanzamiento de un chorro de agua al aire, tal como hacen las ballenas cuando salen a...
¡Cada vez más rápido! Países Bajos inauguró túnel de «cápsulas ultrarrápidas»
Países Bajos inaugura túnel de "cápsulas ultrarrápidas" con el que busca transportar personas a velocidades que podrían llegar a los 1.000 km/h
Hyperloop, un concepto...
Google Drive habilitó dos nuevas funciones para su versión móvil
Google Drive, la plataforma de almacenamiento de datos en la nube de la empresa tecnológica, habilitó dos nuevas funciones para su versión móvil con...
Ministro Rafael Tellechea fortalece PDVSA con equipos tecnológicos (+ Detalles)
El ministro Pedro Rafael Tellechea Ruiz fortalece el sector petrolero al entregar equipos tecnológicos a los trabajadores de Petróleos de Venezuela, S.A. (PDVSA), en...
Hallan indicios de que el tigre de Java considerado extinto podría seguir en la...
Un equipo de ecologistas y zoólogos encontró una muestra de pelo perteneciente a un tigre de Java (Panthera tigris sondaica) en la isla de...
SpaceX pone en órbita otro lote de satélites desde Florida
La compañía espacial privada SpaceX, de Estados Unidos (EE.UU.), puso este viernes en órbita otros 23 satélites Starlink, lanzados a bordo de un cohete...
















